One Smile. One Plan. One Transformation.
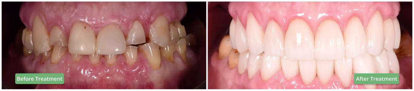
When your dental needs go beyond a single tooth or small fix, you don’t need patchwork—you need a plan. Our full mouth rehabilitation services are designed for people dealing with years of wear, damage, decay, or missing teeth.
Whether you’ve avoided the dentist due to fear, cost, or life getting in the way, you’re not alone—and it’s never too late to start fresh.
Request Your Free Consultation
What Is Full Mouth Rehabilitation?
Full mouth rehabilitation (also called full mouth reconstruction) is a comprehensive, step-bystep treatment plan that combines cosmetic and restorative procedures to rebuild your smile— functionally, aesthetically, and structurally.
Request Your Free Consultation
What’s Included?
Every case is different, but treatments may include:
Full-arch dental implants
Bone grafting or sinus lifts
Bite correction and alignment
IV sedation for comfort during treatment
Porcelain crowns or bridges
Treatment of gum disease
Custom prosthetics
All of this is planned in-house, by your Carolina Implants team, using advanced 3D imaging and digital design tools.
Request Your Free Consultation
You Don’t Have to Live With a Smile That Holds You Back
If you're ready to stop hiding your teeth and start living again, we're here to guide the entire journey—one step at a time, without pressure or shame.

.avif)




What to Expect
.png)
Consultation & 3D Imaging
We start with a deep dive into your goals and full-mouth scans.
.png)
Digital Treatment Plan
You’ll get a custom-designed, fully visualized treatment plan built for your mouth and budget.

Phase-Based Care
We can stage your treatment over time or complete it in as few appointments as possible—whatever fits your timeline and health needs.
.png)
Smile Transformation
The end result is a natural-looking, healthy smile that brings back confidence and function.
Start With a Free Full-Smile Consultation
Let’s see what’s possible for your smile—and your life. We’ll take care of the plan. You just take the first step.
Request Your Free Consultation